产品搜索
结构搜索
全站搜索
当前位置: 专题聚焦
线粒体靶向的pH/HSO3-/粘度多功能比率传感荧光探针及其成像研究
本文转自:x-mol
线粒体作为一种重要的能量供应细胞器,参与能量产生、中枢代谢和氧化还原信号传导等多种细胞过程。pH、HSO3-和粘度是评价线粒体功能的重要生物标志物。线粒体的正常pH环境呈弱碱性(pH~8),此状态下可维持其正常的功能,线粒体pH值的波动是细胞状态的关键标志。SO2可调节脂质代谢和胰岛素水平,已被认为是心血管系统中继硫化氢(H2S)、一氧化氮(NO)和一氧化碳(CO)之后的第四种气体信号传递器。SO2可通过GSH和Na2S2O3通过硫代硫酸盐硫转移酶在线粒体中内源性产生,以调节增加的抗氧化能力并防止细胞受损。SO2在生物体内多以HSO3-形式存在。同样,线粒体粘度与其呼吸状态密切相关,线粒体粘度异常可能是各种疾病和细胞功能障碍的重要指标,因此,实现线粒体内pH、HSO3-和粘度的多重检测对评价线粒体功能具有重要意义。荧光探针技术因其良好的灵敏度、非侵入性、操作简单等诸多优点而成为监测生物系统的最佳技术之。目前已有许多荧光探针被开发用于独立检测pH、粘度和SO2或检测这三种分析物之中的两种,却很少有探针可以同时响应pH、粘度和SO2。近日,河南理工大学王元课题组与许昌学院许志红课题组、英国巴斯大学Tony D. James课题组合作,设计开发出一种基于半花菁结构的多功能比率荧光探针,可实现线粒体中pH、HSO3-和粘度的同时传感,并成功用于细胞线粒体和斑马鱼中pH、HSO3-和粘度的成像检测(图1)。

图1. 探针1对pH,HSO3-和粘度的响应机制(不包含抗衡阴离子)
光谱响应实验表明荧光探针对pH、HSO3-和粘度具有良好的响应。在DMSO/HEPES(1:1,v:v)缓冲溶液(50 mM)中探究探针1对不同pH的荧光响应。当溶液pH从3.0变化到9.0时,445 nm和605 nm处的发射峰强度同时增加(图2a);当溶液pH从9.0变化到13.0时605 nm处的红色荧光发射峰逐渐猝灭,而蓝色荧光发射峰的强度逐渐增加(图2b)。在整个滴定过程中(pH=3.0-13.0),发射峰荧光强度比值(I605/I445)从7.91变化到0.02,降低了395.5倍;I605/I445与pH呈S型关系(图2c),pKa=6.92,表明了探针1对pH的高灵敏度。

图2. a) pH=3.0-9.0时探针1对pH响应的荧光光谱图;b) pH=9.0-13.0时探针1对pH响应的荧光光谱图;c) 探针1对pH的滴定图;d) 探针1在不同pH条件下的竞争图
pH干扰实验结果表明,常见阴阳离子、氨基酸、小分子中只有HSO3-能够诱导探针1发射峰荧光强度比值I605/I445发生显著变化(图2d)。在DMSO/HEPES(1:1,v:v)缓冲溶液(50mM,pH=7.4)中加入HSO3-后,605 nm处的发射峰猝灭,445 nm处的发射峰几乎不变,溶液的荧光颜色由玫红色变为蓝色(图3)。探针1对HSO3-表现出高选择性、低灵敏度(检出限LOD低至29 nM)、快速响应(响应时间5 min)等诸多优点。

图3. a) pH=7.4时探针1对HSO3-响应的荧光筛选图;b) 探针1对HSO3-的荧光滴定光谱
通过调节HEPES缓冲溶液和甘油百分数比例来改变测试体系的粘度。随着溶液粘度从1.005 cP(0%甘油)增加到219 cP(90%甘油),445 nm和605 nm处的两个发射峰的强度逐渐增强,发射峰荧光强度比值I605/I445与粘度对数之间存在良好的线性关系,表明探针1可以潜在地用作比率传感工具来检测粘度变化(图4)。最重要的是探针1对pH、HSO3-和粘度的测试可独立进行,三者之间相互不干扰,为实现pH、HSO3-和粘度的同时传感提供了新的方法。

图4. 探针1对粘度响应的荧光光谱图
此外,通过核磁、ESI-MS、DFT理论计算等手段,推测出探针对pH、HSO3-和粘度检测作用机制。作者使用智能手机将探针1的颜色变化与pH/HSO3-以及RGB值的变化关联起来,开发了一种低价格的视觉方法来现场定量pH和HSO3-(图5a)。如图5b所示,在pH=3.0-13.0的范围内,R/B值的比值与pH值呈S型关系(R2=0.990)。类似地,在图5c中,R/B的比值与HSO3-在10 μM至90 μM的浓度范围内观察到良好的线性关系,LOD计算为23.97 nM,与光谱结果相对应。

图5. a) 使用智能手机定量测定pH/HSO3-的操作程序; b) R/B值与不同pH值的校准曲线; c) R/B值与HSO3-浓度的校准曲线
最后,作者对探针1的细胞毒性及其在活体细胞中的应用做了系统研究。结果显示,在40 μM浓度下C6细胞的存活率超过85%,说明探针具有较低的细胞毒性。另外通过Mito-Tracker Green共定位实验,确定探针具有良好的线粒体靶向功能(皮尔逊系数0.85,图6)。在活体细胞实验中,作者通过对C6细胞和斑马鱼进行预处理对比实验(图7-10),证明该探针可用于追踪C6细胞线粒体和斑马鱼体内的pH、HSO3-和粘度变化。

图6. 探针1在C6细胞线粒体内荧光共染成像图

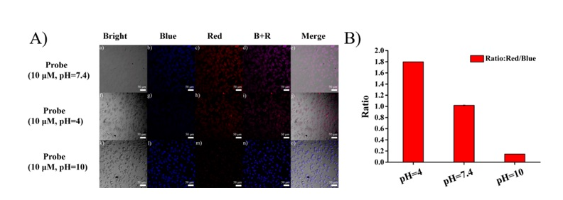
图7. 探针1在不同pH孵育C6细胞条件下的共聚焦荧光成像图

图8. 探针1在C6细胞中检测HSO3-的共聚焦荧光成像图

图9. 探针1在C6细胞中检测粘度的共聚焦荧光成像图

图10. 探针1在斑马鱼体内检测pH、HSO3-和粘度的共聚焦荧光成像图
综上所述,该工作报道了一种新型线粒体靶向多功能比率荧光探针,可以同时实现线粒体内pH、HSO3-和粘度的多重传感。该探针在生物应用方面表现出响应时间短、灵敏度高、细胞毒性低、生物相容性好等特点,并成功用于C6细胞线粒体和斑马鱼体内pH、HSO3-和粘度。
这一研究成果近期发表在Chemical Engineering Journal 上,河南理工大学吴伟娜副教授和硕士研究生宋雨飞为论文共同第一作者,吴伟娜副教授、许昌学院许志红教授、河南理工大学王元教授、英国巴斯大学Tony D. James教授为论文通讯作者。
该工作得到了国家自然科学基金、河南省自然科学基金项目、国家公派留学基金、许昌学院重点项目、许昌学院科研创新团队、河南师范大学化学化工学院开放基金等项目经费的支持。
原文(扫描或长按二维码,识别后直达原文页面,或点此查看原文):
Multifunctional 1,3-benzoxazole-merocyanine-based probe for the ratiometric fluorescence detection of pH /HSO3- /viscosity in mitochondria
Wei-Na Wu1,*, Yu-Fei Song1, Xiao-Lei Zhao, Yuan Wang*, Yun-Chang Fan, Zhi-Hong Xu*, Tony D. James *
Chem. Eng. J., 2023, 464, 142553, DOI: 10.1016/j.cej.2023.142553